누구나 한 번쯤 경험해 봤을 구내염은 입안에 염증이 생기는 것으로 혀가 닿기만 해도 아프고 불편감을 주는데요.
스트레스를 받거나 피곤한 상황에 더 자주 생기게 되는 구내염은 특히나 뜨거운 음식 혹은 매운 음식을 먹을 때면 더 고통스럽습니다.
오늘은 구내염 종류, 원인, 빨리 낫는 방법까지 구내염에 대한 정보를 담아보았습니다.
목차
구내염이란?

구내염은 혀, 잇몸, 입술, 볼 안 등 입 안 점막에 생기는 염증을 말합니다. 구내염에 걸린 경우 입 안이 따갑고 화끈거리는 느낌이 들며, 밥을 먹거나 말할 때 타는 듯한 통증이 들기도 합니다.
1. 구내염 종류
구내염은 크게 4가지의 종류로 나누어볼 수 있습니다.
1) 재발성 아프타성 구내염 ; 흰색 둥근 염증

:구내염 환자의 60%가 속하는 흔한 질환으로, 입안에 1cm 미만의 둥근 형태의 하얀 염증이 1~3개 정도 생기는 증상입니다.
궤양 부위에서 간지럽거나 타는 듯한 느낌이 있을 수 있고 다른 물체에 닿으면 통증을 느끼게 됩니다. 면역력이 떨어진 시기에 입안에 작은 상처가 나면 그게 염증으로 발전하게 됩니다.
2) 헤르페스 구내염 ;입술 주변 수포

: 아프타성 구내염 다음으로 흔하게 발생하는 것이 헤르페스 구내염입니다.
주로 입술과 입술 주변으로 작은 수포가 여러 개 생기는 것을 의미합니다.
헤르페스 구내염 발생 시 수포 주변으로 아프타성 구내염처럼 타는 듯한 통증이 발생할 수 있으며 감각이 둔해지는 느낌이 들 수 있습니다.
3) 칸디다증 ; 혓바닥에 하얀 이물질

: 주로 혓바닥에 우유 찌꺼기 같은 막이 껴 있는 경우 구강 칸디다증을 의심할 수 있습니다.
칸디다 균은 입 안, 소화기관, 여성의 질 등 신체 내부에 살고 있는 상재균이나 면역력이 약해진 경우 염증을 일으킬 수 있습니다.
입안이 건조하거나, 당뇨병을 앓고 있는 경우, 스테로이드 및 항생제 치료를 해온 경우 칸디다증이 생기게 될 수 있습니다.
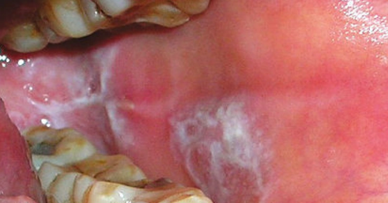
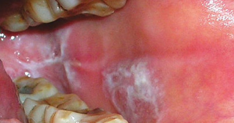
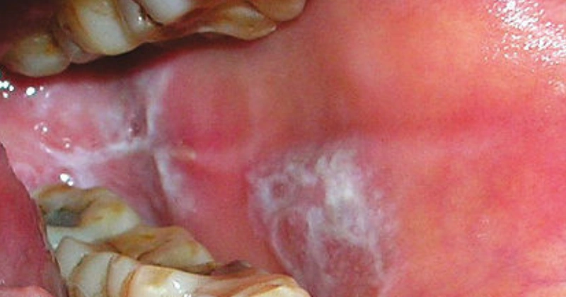
4) 편평 태선 ; 흰색 거미줄 모양 염증

: 뺨 안쪽으로 주로 발생하며 흰색 거미줄 모양의 염증이 생기는 증상입니다.
마찬가지로 구강 내 불편감 등의 증상이 있을 수 있고, 구강 편평 태선이 있는 경우 그렇지 않은 사람에 비해 구강암 발생 위험이 40%가 더 높다는 연구가 있어 구강 관리에 더욱 유의해야 합니다.
구내염 원인
: 구내염은 다양한 원인들에 의해 나타날 수 있습니다.
1) 입 안 점막 상처
: 보철기 사용, 틀니 사용 시, 구강이 건조할 경우, 치약의 SLS(소듐라우릴설페이트) 성분
2) 면역력 저하
: 스트레스 상황, 피로, 수면 부족이나 수면 리듬 불균형, 호르몬 변화, 생리 주기, 체중 변화, 비타민 B12 결핍 등
3) 외부 미생물에 감염
3. 구내염 치료
구내염을 빨리 낫게 하기 위해서는 구내염을 유발할 수 있는 원인들을 가능한 없애주는 것이 좋습니다. 다음과 같은 방법을 통해 빠른 치료를 도울 수 있습니다.
1) 비타민 B 복용

: 구내염은 비타민 B군 결핍 시 자주 발생하게 됩니다. 특히 비타민 B2(리보플라빈), B6(피리독신), B12(코발라민)은 구내염과 관련이 있는 영양소입니다.
비타민 B군은 주로 녹황색 채소, 육류, 콩류에 많이 포함되어 있으나 매우 섬세하기 때문에 요리 과정에서 많이 파괴될 가능성이 있습니다.
따라서 구내염이 자주 발생하거나 균형 잡힌 식단 구성이 힘들 경우 비타민 B 영양제를 이용할 수 있습니다.
2) 면역력 높이기

: 면역력이 떨어진 상태일 경우 구내염이 잘 낫지 않을 수 있습니다. 구내염이 발생하였다면 충분한 휴식을 취해주는 것이 좋으며 규칙적인 생활습관을 유지하는 것이 좋습니다.
물을 많이 마셔주는 것도 입 안에 세균 등이 들어오는 것을 막아줄 수 있으며 구강 점막을 촉촉하게 만들어 주기 때문에 상처가 덜 생기게 할 수 있는 방법입니다.
또한 평소 면역력을 높여주는 항산화 영양제 등 복용 시 구내염 예방에 도움이 될 수 있습니다.
3) 살균

: 구내염이 발생하면 입안 점막의 상피세포가 파괴되고 안의 속살이 드러나게 됩니다. 속살이 드러난 상태는 각종 세균 등이 들어오기 쉬운 상태가 되는데요.
이때 세균에 의해 2차 감염이 생기게 되면 낫는 속도가 더뎌질 수 있습니다. 따라서 노출된 점막을 소독용액으로 살균해 주는 것이 좋습니다.
약국에서 판매하는 헥사메딘 등의 용액을 구입하시거나 소금물로 가글 하시면 됩니다.
다만, 소독 용액의 경우, 가글 용액을 너무 장기간 사용할 시 오히려 정상 세균총의 불균형을 유발할 수 있으므로 오래 사용하는 것은 추천드리지 않습니다.
📌 치약 성분 체크!📌
치약에서 사용되는 세정 성분인 SLS(소듐라우릴설페이트)가 구내염을 발생시키는 원인이 될 수 있다고 하는 연구들이 있습니다.
구내염이 유독 자주 발생한다면 치약 성분을 확인해 보시고 SLS가 포함되어있지 않은 제품을 선택하는 것을 추천드립니다.
4) 보호막 형성

: 점막이 그대로 노출되어 있는 경우 밥을 먹을 때나 말을 할 때 등 점막이 자극을 받게 되어 빨리 호전되지 못합니다.
이럴 때 화학적 반응을 이용하여 막을 씌우는 역할을 해주어야 합니다.
많이 사용되는 제품명으로는 '알보칠'이 있는데 사용할 때 굉장히 아프기로 악명이 높지만 사용하고 나면 막이 씌워져 통증도 훨씬 경감됩니다.
다만, 알보칠 사용 시 해당 부위 외에 바르게 되면 구내염이 더 커질 수 있으므로 소량만 사용하시고 면봉으로 톡톡 찍어 발라주세요.
5) 염증 치료

: 소독 후 보호막을 씌워준 후 염증 치료제를 도포해 주면 구내염이 훨씬 빨리 없어질 수 있습니다.
스테로이드성 소염 연고, 혹은 패치형 상품들을 통해 붙여 두면 치료 성분이 흡수되어 염증을 빨리 없애는 데에 도움을 줍니다.