위내시경을 해보신 분 중 '장상피화생' 진단을 받으신 분들이 많이 있으실 텐데요. 실제 장년층의 30%까지 발견된다고 할 정도로 많이 발병하는 질환입니다.
그런데 장상피화생이 위암으로 이어질 수 있다고 알려져 있어 큰 병에 걸린 건 아닌가 덜컥 겁이 나기도 하죠.
오늘은 이름도 어려운 장상피화생, 도대체 어떤 질환인지 알아보고 장상피화생 증상, 원인, 치료와 관리 방법까지 알려드리겠습니다.
목차
장상피화생이란?

일반적으로 위에는 위 점막 세포가, 장에는 소장, 및 대장 점막 세포들이 있는 것이 정상입니다.
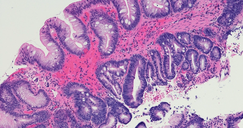
그러나 장상피화생은 위 점막의 정상 세포들이 여러 원인들에 의해 소장 혹은 대장 점막 세포들과 유사하게 변하는 것을 의미합니다.
즉 위 세포의 성질이 '장상피화'가 되는 것이죠.
정상 위세포는 위산을 만들어내 우리가 평소 알게 모르게 먹는 발암물질들을 분해해 주는 역할을 하지만, 장점막화된 세포들은 위산을 만들어내지 못하고, 발암물질에 취약하기 때문에 문제가 됩니다.
그런 이유에 의해서 장상피화생이 발생한 상태로 안 좋은 환경에 노출이 지속되면 위암으로 발전할 가능성이 생기게 됩니다.
1. 장상피화생 원인
💡 장상피화생 발생 과정💡
위염 만성화
➡️ 위 점막 세포가 얇아지는 위축성 위염
➡️ 장상피화생
이렇게 위염이 만성화되면 위 점막의 변화가 일어나고, 이것이 장기화되면 장상피화생이 발생하게 됩니다.
이런 단계를 불러일으키는 원인은 다음과 같습니다.
1) H.pylori 균 감염
: 헬리코박터균으로 불리는 이 균은 전 세계 인구의 50% 이상이 감염될 만큼 흔한 감염균인데요. 이 균은 위염 유발 및 위 점막 세포의 변화를 촉진합니다.
2) 흡연, 음주
: 흡연과 음주는 모두 위 점막에 손상을 줄 수 있으며, 위 점막 손상 시 장점막 세포로 변화하면서 장상피화생이 발생하게 됩니다.
3) 고염식
: 가공식품 등에 들어있는 아질산염 및 화학적 첨가물들은 위암 발암인자를 촉진시키고, 헬리코박터균의 독성을 높이게 됩니다.
4) 고지방식
: 고지방식은 쓸개즙이 과도하게 많이 나오게 하는데요. 쓸개즙이 너무 많이 나오게 되면 위로 역류해 위 점막을 자극하고 손상시키게 됩니다.
5) 나이, 유전적 요인
: 나이가 들면서 위 점막 변화의 위험이 더 늘어나게 되고, 가족력이 있는 경우 발생 가능성이 더 높습니다.
2. 장상피화생 증상

장상피화생이 진행되는 동안 대부분은 아무런 증상을 느끼지 않습니다. 그러나 헬리코박터 균 감염이나 만성 위염과 같은 기저질환에 의해 다음과 같은 증상이 있을 수 있습니다.
- 복통
- 속 쓰림
- 소화불량, 구토, 설사
- 체중감소
- 피로
장상피화생은 일반적으로 증상이 없기 때문에 정기적인 건강검진을 통해 진단받는 경우가 많습니다.
위 내시경 시 울통 불퉁한 흰색 융기들과, 조약돌 같은 결절성 병변 등이 관찰되면 조직 검사를 통해 일부 조직을 채취하고 진단하게 됩니다.
그렇다면 이런 장상피화생을 치료하는 방법은 있을까요?
3. 장상피화생 치료
장상피화생이 한번 발생하면 정상세포로 되돌아가는 것은 흔치 않기 때문에 일반적으로 영구적인 변화로 간주되는데요.
그러나 장상피화생의 원인이 되는 헬리코박터균을 치료했을 때 장상피화생의 악화를 예방하는 것이 가능하며, 일부는 호전이 되었다는 연구가 발표되어 헬리코박터균 제균치료를 하기도 합니다.
제균치료를 위해서는 항생제와 제산제를 7~14일 정도 복용하게 되며, 1차 치료에 의해 성공하는 경우는 70% 정도라고 합니다.
4. 장상피화생 관리

장상피화생이 암으로 변하는 기간은 사람에 따라 다르지만 짧으면 2~3년 이내에도 위암으로 변할 수 있다고 합니다.
그래서 정상세포로 돌아가는 것이 어렵다면 암으로 변하지 않도록 악화 원인을 제거해 주고 꾸준한 모니터링으로 위암으로 변하지 않는지 확인해 주는 것이 필요합니다.
위내시경

국가에서 진행하는 위내시경 주기는 2년에 한 번이지만 장상피화생 환자라면 1년에 한 번씩은 위내시경을 진행할 것을 전문가들은 권장하고 있습니다.
특히 위암의 경우 조기발견 여부가 예후를 결정하는 데 아주 중요한 요소이기 때문에 증상이 없다고 하더라도 검진을 해주는 것이 좋습니다.
위내시경의 비용은 병원의 규모 등에 따라 다르지만 일반적으로 개인 병원에서 시행하는 수면 위내시경 비용은 평균 10만 원입니다.
헬리코박터균 검사, 조직 검사 유무 등에 따라 세부 진료 비용은 달라질 수 있습니다.
장상피화생에 좋은 음식 섭취

▪︎ 풍부한 과일, 채소 섭취
: 항산화 물질을 포함하는 과일, 채소는 염증을 감소시키고 세포를 보호하는 효과가 있습니다.
특히 녹색 잎채소들, 오렌지, 딸기, 토마토, 당근, 감자 등은 항산화 물질이 풍부한 음식입니다.
▪︎ 고염식, 고지방식 피하기
: 과도한 나트륨 및 고지방 식이는 위 점막을 지속적으로 약하게 만들기 때문에 가능한 피해 주는 것이 좋습니다.
▪︎ 통곡물 섭취
: 풍부한 섬유질은 위장 건강에 도움을 주고 장상피화생의 악화를 돕습니다.
항산화

발암 물질 및 독소 제거에 효과적인 항산화 성분을 복용해 주는 것은 각종 암 예방에 도움이 되는데요.
특히 항산화제 중 항산화 효과가 매우 강력하다고 알려진 글루타치온의 황 화학 그룹은 발암물질, 식품 첨가물 등 각종 독소 등에 붙어 배출을 돕고 노화 방지, 면역력 상승 등의 효과가 있습니다.
정상피화생이면 무조건 위암 병변으로 변하는 것은 아니기 때문에 지나친 걱정을 하기보다는 평소 식습관과 생활습관 개선을 통해 전반적인 몸의 컨디션을 높여주는 것이 중요한 것 같습니다.
추천 게시물
리포조말 비타민c 추천 비교 TOP 3 !
안녕하세요 문무남입니다. 오늘은 리포조말 공법으로 제조된 '리포조말 비타민c'에 대해 알아보고, 국내를 비롯한 전 세계적으로 유명한 리포조말 비타민c 제품을 추천해 드리겠습니다. 최근 '
jaid.2quater.com